Житель Флориды Сэм Кордеро съел свиной окорок на Рождество, а почти через два месяца у него начались внезапные проблемы со зрением — появилось множество чёрных точек в левом глазу.
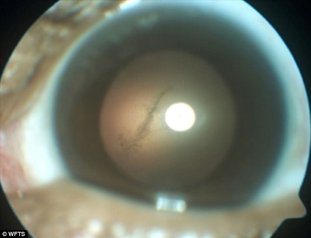
Обратившись к офтальмологу, мужчина узнал, что в его глазу обитает опасный ленточный червь — свиной цепень (свиной солитер). Врач объяснил, что если паразит умрёт внутри глаза, это может привести к потере зрения, а при развитии он способен серьёзно разрушить глазное яблоко.
Свиной цепень известен тем, что в организме хозяина может вырасти до 2–3 метров, поэтому своевременное удаление и лечение критически важны. Врачебная помощь и обследование помогли вовремя обнаружить проблему, что снизило риск катастрофических последствий для зрения.

