В марте 1998 года хирург Роджер К. Лир опубликовал крупную статью о так называемых инопланетных имплантах — мелких «датчиках», которые люди, утверждавшие, что их похищали пришельцы, обнаруживали внутри тела.
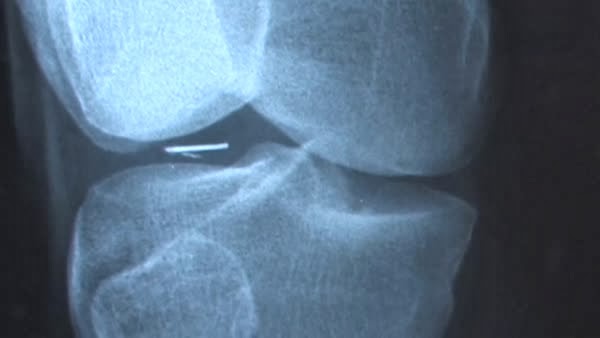
История началась летом 1995 года, когда Лир получил заказное письмо от Дэррила Симса с просьбой дать медицинское заключение по рентгеновскому снимку. Это стало отправной точкой для серии операций и исследований, в ходе которых были извлечены крошечные предметы неизвестного происхождения.
Пациенты Лира, по его словам, были разными по статусу и профессии: учёные, литераторы, рабочие и служащие. Всем им перед операцией сопутствовали схожие симптомы — постоянное чувство тревоги, навязчивое ощущение наблюдения и психологическая зависимость, которые исчезали или ослабевали после удаления предмета.
Один из случаев описывается так: пациент, названный Пэтом Паринелло, вспомнил эпизод из детства, когда в шесть лет он внезапно вышел на улицу и увидел яркий свет над городом, затем почувствовал сильную боль, как от горячей иглы в руке, и проснулся наутро с температурой и кровью на простыне. Позже у него из пальца извлекли посторонний предмет.
Французский учёный Мишель Гранже, комментируя находки, подчёркивал, что такие факты нельзя игнорировать и что они заставляют задаваться вопросом о месте человека в мире и возможных контактах с более высокоразвитыми цивилизациями.
Лир продолжал работать над этой темой до своей смерти в 2014 году. Он отмечал, что сталкивался с критикой со стороны коллег, которые предлагали разъяснения на уровне известных медицинских патологий, и в ответ просил указать примеры аналогичных находок в медицинской литературе — таких примеров, по его словам, не было.
Дело Лира остается спорным: для одних это доказательство необычных вмешательств, для других — необъяснённые, но поддающиеся естественному разбору аномалии. Тем не менее его публикации привлекли внимание к проблеме и дали импульс дальнейшим обсуждениям и исследованиям.



Забавно, как многие свято верят в инопланетян и их технологии. Импланты, конечно, звучат интересно, но не кажется ли вам, что это скорее плод воображения? Убедительных доказательств как-то не хватает. Надеюсь, в этом расследовании хоть что-то новое и стоящее подкинут, а то вдруг просто пустая болтовня. Кто знает, может, правда где-то рядом?